Es bastante obvio que una seria lesión cerebral traumática (LCT) pueden causar daños a las capacidades cognitivas de la víctima, pero los traumatismos craneoencefálicos leves y menos graves también pueden causar daño.
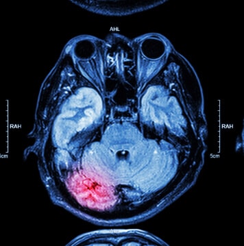
De hecho, un artículo de Noticias FOX Un estudio realizado en la Universidad de Newcastle examinó los cerebros de 77 participantes: 44 que habían sufrido traumatismos craneoencefálicos (TCE) de leves a moderados durante la semana previa al estudio y otros 33 que no. Descubrieron que quienes habían sufrido un TCE presentaban puntuaciones más bajas al evaluar aspectos como la actividad verbal, así como el movimiento ocular y de otras partes del cuerpo.
Estas conclusiones se obtuvieron después de que los investigadores examinaran los resultados de imágenes cerebrales capturadas mediante resonancia magnética y tecnología de imágenes por tensor de difusión.
El equipo también descubrió que el daño cerebral causado por un traumatismo craneoencefálico puede ser a largo plazo, si no permanente. Esto se determinó mediante imágenes cerebrales obtenidas un año después de la evaluación inicial del paciente.
El Abogados de lesiones personales en Texas Los abogados de lesiones de Daniel Stark afirman que por eso es tan importante reconocer los síntomas de un traumatismo craneoencefálico y buscar atención médica ante la sospecha de un traumatismo craneoencefálico. Algunos de los signos más comunes incluyen:
- Mareo
- Desorientación
- Cambios repentinos en los patrones de sueño
- Cambios repentinos de humor
- pérdida de memoria


